新时代国医大师陈海林 筑医界丰碑 为肿瘤患者生命“续航”
新时代国医大师陈海林 筑医界丰碑 为肿瘤患者生命“续航”
Chen Hailin, a master of traditional Chinese medicine in the new era, has built a monument in the medical field to "continue" the lives of cancer patients
迎中秋,庆国庆特别报道——陈海林教授
国医名师陈海林改变世界医学难题,彻底根治癌症第一人
中医药在治疗重大恶性肿瘤中具有独特的疗效和前瞻性。
就以下病案是最新医学动态:向全国人民报道:
最新医学动态中医治疗恶性肿瘤领域中的重大进展!
精准治癌是中医科研工作者责任和使命,拓宽视野,向未知领域探索。
Traditional Chinese medicine has unique therapeutic effects and prospects in the treatment of major malignant tumors.
The following medical records are the latest medical developments: reporting to the people of the whole country:
Significant progress in the field of traditional Chinese medicine treatment for malignant tumors in the latest medical trends!
Accurate cancer treatment is the responsibility and mission of traditional Chinese medicine researchers, broadening their horizons and exploring unknown fields.
他不是科学家,却攻克了四十多种癌症,创造了医学界的奇迹。
他不是外交家,却是名扬海外的风云人物,关于他的海外报道播放量高达几百亿。他不是神医,却治好了无数的肿瘤患者,被誉为“在世华佗”。
He is not a scientist, but he has conquered over thirty types of cancer and created miracles in the medical field.
He is not a diplomat, but a renowned figure overseas, with several billion views of his overseas reports. He is not a divine doctor, but he has cured countless tumor patients and is known as the "living Hua Tuo".
他把初心使命当作理想信念,把肿瘤医学当作毕生事业,用辛勤付出诠释医者仁心,用精湛的医术让生命之光绽放,为无数肿瘤患者生命“续航”。他就是我国著名癌症治疗专家,北京利民源国际中医学研究院院长陈海林。
He regards his original mission as his ideal and belief, regards oncology medicine as his lifelong career, interprets the benevolence of doctors with hard work, and uses exquisite medical skills to make the light of life bloom, "continuing" the lives of countless cancer patients. He is Chen Hailin, a renowned cancer treatment expert in China and the president of Beijing Limin Yuan International Institute of Traditional Chinese Medicine.


陈海林,男,汉族,出生于1955年8月。著名肿瘤专家,自然医学科学院院士、中医学博士后,曾就读于清华大学融商学院高EMBA总裁研修班,现为北京利民源国际中医学研究院院长、中国医促会中老年保健专业委员会肿瘤学科专家委员。Chen Hailin, male, Han nationality, was born in August 1955. Famous oncologist, academician of the Chinese Academy of Natural Medical Sciences, and postdoctoral fellow in Traditional Chinese Medicine. He previously attended the Senior EMBA President's Training Program at the School of Business at Tsinghua University. Currently, he is the President of Beijing Liminyuan International Institute of Traditional Chinese Medicine and a member of the oncology expert committee of the China Association for the Promotion of Medicine's Middle and Elderly Health Professional Committee.
陈海林自幼行思异于常人,求知心切,对传统文化尤其热衷而求索,常亲身探察以验证。癌症是威胁人类生命健康的最大“杀手”。虽然现代医学不断前进,科技也不断发展,癌症仍然是科学家们未能越过的鸿沟。陈海林以求性命大道,融通诸家所长,发扬古中医学将《易经》、《五行》与气功、阴阳、养身诸学科相结合,从多层次、多元级、多系统、多方位、多维路、多渠道去开拓思维想象空间,在传统中医药学三焦气化多维求协论理论的指导下,与现代医学的诊断手段和影像资料有机的结合。对不同癌症患者的观察治疗,对症的药物组方,进行气化介入人体内气化中枢(脾胃)进行气体交换(机制)的升降出入进入病灶,迅速遏制癌细胞的扩散和转移,直接摧毁突变的癌细胞去修复缺失变异的细胞和细胞质。经多方位的气化演变,稳妥有序地将癌细胞迅速逆转为正常生理细胞,创造出了独具中国中医特色与创新思维的癌症综合治疗方案,标本皆施,创造了三焦气化多维求协论理论。Chen Hailin has been different from ordinary people in his thinking and behavior since childhood. He is eager to learn and is particularly passionate about traditional culture. He often personally explores and verifies it. Cancer is the biggest 'killer' that threatens human life and health. Although modern medicine continues to advance and technology continues to develop, cancer remains a gap that scientists have not been able to bridge. Chen Hailin strives for the path of life, integrating the strengths of various schools, and promoting ancient Chinese medicine. He combines the "Book of Changes" and "Five Elements" with various disciplines such as Qigong, Yin Yang, and nourishing the body, exploring the space for thinking and imagination from multiple levels, multiple levels, multiple systems, multiple directions, multiple paths, and multiple channels. Under the guidance of the traditional Chinese medicine theory of triple jiao gasification and multi-dimensional synergy, he organically combines it with modern medical diagnostic methods and imaging data. Observation and treatment of different cancer patients, targeted drug formulations, and gas exchange (mechanism) intervention in the gasification center (spleen and stomach) of the human body to quickly curb the spread and metastasis of cancer cells, directly destroying mutated cancer cells to repair missing and mutated cells and cytoplasm. Through multi-dimensional gasification and evolution, cancer cells are quickly reversed into normal physiological cells in a stable and orderly manner, creating a comprehensive cancer treatment plan with unique Chinese traditional Chinese medicine characteristics and innovative thinking. All specimens are applied, creating the theory of multi-dimensional synergy of the three jiao gasification.
癌症被称为“众病之王”。是因为迄今为止,它在早期发现、早期诊断和有效治疗等方面,比其他病种对人类更具威胁性。癌症也被西方医学界提出最攻克的医学难题。其实现实是没有治不了病,只有治不了的人。陈教授善于运用临证规律诊治疾病,从两个方面的规律:一是辨证论治的规律,这就是“常”,二是灵活变通的特殊规律,这就是“变。“常”与“变”是对立统一的,二者相互依赖,相互制约,受常变观的影响在建构中医理论、归纳生命活动规律、总结医疗经验过程中始终围绕“常”与“变”的关系展开。在脑瘤、食管中上段癌、鼻咽癌、喉癌、贲门癌、胃癌、肝癌、胆总管癌、骨 癌、肺癌、膀胱癌、淋巴癌、乳腺癌、绒毛癌,胸管癌,石癌、舌癌、神经性恶性肿瘤等四十多种肿瘤疾病,一次性治疗,没有第二次复发,陈教授临床研究已成为医学发展的重中之重,临床研究已成为国家医药创新能力的重要标杆之一,甚至被世界各国提到了关乎国计民生和国家发展的战略高度。国际上的医学难题现在由中国的中医交了这份答卷。
Cancer is known as the "king of diseases". Because so far, it poses a greater threat to humans than other diseases in terms of early detection, early diagnosis, and effective treatment. Cancer has also been identified as the most challenging medical problem by the Western medical community. In fact, there is no incurable disease in reality, only people who cannot be cured. Professor Chen is good at using clinical laws to diagnose and treat diseases. He has two aspects of the law: one is the law of syndrome differentiation and treatment, which is "chang", and the other is the special law of flexible adaptation, which is "chang". "chang" and "chang" are opposing and unified, and they are interdependent and mutually constrained. Influenced by the concept of chang, they construct traditional Chinese medicine theory, induce the laws of life activities The process of summarizing medical experience always revolves around the relationship between "constant" and "change". In more than 30 kinds of tumor diseases, such as brain tumor, middle and upper esophageal cancer, nasopharyngeal cancer, laryngeal cancer, cardiac cancer, gastric cancer, liver cancer, common bile duct cancer, bone cancer, lung cancer, bladder cancer cancer, lymphatic cancer, breast cancer, villus cancer, thoracic duct cancer, tongue cancer, neural malignant tumor, there is no second recurrence after one-time treatment. Professor Chen's clinical research has become the top priority of medical development, Clinical research has become one of the important benchmarks for national pharmaceutical innovation capabilities, and has even been mentioned by countries around the world as a strategic height related to national economy, people's livelihood, and national development. The international medical challenges are now being submitted by Chinese traditional Chinese medicine.

胰腺癌被称为“癌症之王”,治疗难度巨大,患者:李拉第,2017年10月检查于胰头部可见一大小约4.5cmx2.8cm的低回声结节显示。经陈教授传中医药治疗效果明显,后经复查胰腺及双侧肾脏形态、信号未见明显异常,附检查报告:
Pancreatic cancer is known as the "king of cancer", and it is difficult to treat. Patient: Li Ladi, in October 2017, a low echo nodule about 4.5cm x 2.8cm in size was seen on the head of the pancreas. According to Professor Chen, the treatment effect of traditional Chinese medicine is obvious. After reexamination, there are no obvious abnormalities in the morphology and signals of the pancreas and bilateral kidneys. Attached is the examination report:



治疗案例分享:
案例1.右肺上叶癌(左侧颈部淋巴结转移、鳞状细胞癌)
患者岂六荣,53岁,系山西省晋中市左权县石匣乡管头村,于2013年1月9日前来就诊。因左胸憋闷,右肺呼吸困难,后背呈放射性疼痛近日加重。于2012年8月7日就诊于山西医科大学第一附属医院,行胸部CT示:右肺上叶癌,行气管镜示;右上叶后段支气管肺癌,右上叶支气管与右中间支气管分膌,右中间支气管开嗳累,病理回报:鳞状细胞癌(病理号12-12929)。于8月30日就诊于山西省肿瘤医院接受治疗。经该院各项检查最后诊断:右上叶癌: 左侧颈部淋巴结转移,鳞状细胞癌,化疗后出院于2012年9月19日转山西武警总医院(第一次入院),2012年9月19日。住院期间经过完善的相关检查,期间出现血小板低下,给予升血小板治疗后,血小板恢复正常,后行伽玛刀治疗后,同时给予中药抗肿瘤药今患者及家属要求出院,于2012年10月10日家属要求出院,住院21天。出院诊断;1、右肺上叶癌2、左侧颈部淋巴结转移3、血小板低下,白细胞低下4、乙型肝类(恢复期)。第二次住院(2012年11月9日)出院(2012年11月21日)共住院12天。今患者及家属要求出院,于今日自动出院。
Treatment case sharing:
Case 1: Right upper lobe cancer (left cervical lymph node metastasis, squamous cell carcinoma)
Patient Bai Liurong, 53 years old, from Guantou Village, Shixia Township, Zuoquan County, Jinzhong City, Shanxi Province, came to see the doctor before January 9, 2013. Due to suffocation in the left chest, difficulty breathing in the right lung, and radiation pain in the back, it has recently worsened. On August 7, 2012, he was treated at the First Affiliated Hospital of Shanxi Medical University and underwent chest CT examination. He showed right upper lobe lung cancer and underwent bronchoscopy; Lung cancer in the posterior segment of the right upper lobe bronchus, separation of the right upper lobe bronchus from the right middle bronchus, and involvement of the right middle bronchus. Pathological report: Squamous cell carcinoma (pathology number 12-12929). Received treatment at Shanxi Cancer Hospital on August 30th. After various examinations at the hospital, the final diagnosis was: right upper lobe cancer: left cervical lymph node metastasis, squamous cell carcinoma. After chemotherapy, he was discharged and transferred to Shanxi Armed Police General Hospital (first admission) on September 19, 2012. During the hospitalization period, after comprehensive relevant examinations, there was thrombocytopenia. After receiving platelet elevation treatment, the platelets returned to normal. After receiving gamma knife treatment, the patient and their family members were also given traditional Chinese medicine anti-tumor drugs. The patient and their family members requested discharge on October 10, 2012, and were hospitalized for 21 days. Discharge diagnosis; 1. Right upper lobe cancer 2. Left cervical lymph node metastasis 3. Low platelet count and white blood cell count 4. Hepatitis B (recovery stage). The second hospitalization (November 9, 2012) was discharged (November 21, 2012) for a total of 12 days. The patient and their family have requested discharge and will be discharged automatically today.

案例2、右肺中心型肺癌纵淋巴结转移(晚期非小细胞肺癌)
患者王秋生48岁,初诊:2005年12月7日主诉:患者因肺癌三年前住在北京肿瘤医院,在该院病情一直处于稳固状态,突然与2004年11月2日肺放化疗后复查:病情加重,该院根据病情调正治疗方案,加大药物力度,除常规治疗外,每天增加一例易沙(进口药物),连续五个多月的治疗。又于2005年3月在该院复查,肺部化疗后复查:影像学意见:右肺较前增大,淋巴结转移大致同前,右肺上不张,未见明变化,右肺多发转移较前进展,右胸水增多。本院根据患者检查结果,在原有基础上调正治疗方案,除常规治疗外,又加大服药力度,每日新增加一粒“胃得凯”(进口药物),连服八个月后于2005年11月9日在该院进行检查,影像号(11473)临床信息:左肺中心型肺癌放化疗后:CT胸部增强。与2005年3月6日胸部CT比较:右肺门肿块较前增大,现约52mm4mm(MA30),原为41mm×31mm(IMA30),不均匀强化。远端肺组织不张范围同前。
支气管分叉部、右主支气管、右肺上叶支气管,右肺支气管中间段官腔不规则狭、右肺上叶支气管开口部中断、肺不张右下肺散在片絮状病灶均通前相仿。左肺多发结节较前增大增多,现最大约45mm×36mm(IMA16),原为38mm×29mm(IMA1)右下肺见新发结节(MA15)纵内气管旁肿大淋巴结与前相仿。右胸水同前相仿。右后胎局限性密度增高较前相仿(IMA29)。影像学意见:右上肺癌较前进展;两肺多发转移较前进展。于2005年11月10日,患者从北京打来电话,说明原因后,决定接受中医药治疗。于2005年12月7日前来就诊治疗。证候:形体消瘦,面色暗黄、胸闷、气短、后背困疼、双侧锁骨下,两腋下,有多个淋巴结节,双手麻木,厌食,乏力,口干舌燥,舌绛红苔厚腻,舌下静脉治疗:清热解毒、存津养阴、散结化瘀。服中药期间停用所有药品。经过60余天,服用30剂中药的治疗,患者自我症状有所改善,本人要求复查;于2006年2月23日在北京肿瘤医院进行检查,与2005年11月9日胸部比较:右肺门肿块较前缩小,现约39mm×30mm(MA30),原为52m41mm(IMA30),仍为不均匀强化,远端肺组织不张范围较前缩小;支气管分叉部、右主支气管右肺上叶支气管、右肺支气管中间段官腔,不轨者狭窄右肺上叶支气管开口部中断同前相仿,右下肺散在片絮状病灶较前吸收。右肺多发结节较前减少、缩小,原最大病灶现边缘为斑片影,中心实性部分约11mm×9mm(MA17),原为45mmx36mm(IMA16),现最大约13mm×10mm(IMA28),原为 24mm17mm;右下肺结节此次扫描未见显示。纵膈 内气管旁及左肺门肿大淋巴结较前缩小,现最大约 15mm×14mm(IMA22),原为25mm×17mm。有胸水较前减少。右后肋局限性密度增高较前相仿(IMA29);其余胸壁诸骨未见骨质破坏灶。影像学意见:右上肺癌伴两肺多发转移较前好转;纵膈及左肺门淋巴结转移较前好转;右侧胸水较前吸收检查结束后,又服用30剂中药,于2006年6月5日,在北京肿瘤医院复查。影像学意见:右上肺癌伴两肺多发转移较前好转:纵膈淋巴结肿大同前相仿;右侧胸水吸收心包积液。患者因工作需要,被迫放弃治疗。下矿,查设备和工人们一起投入紧张的劳动生产中,第二年夏天在一位朋友的劝说下,改用伽玛刀治疗。
Case 2: Longitudinal lymph node metastasis of central lung cancer in the right lung (advanced non-small cell lung cancer)
Patient Wang Qiusheng is 48 years old, with initial diagnosis on December 7, 2005. The patient complained that he had been staying at Beijing Cancer Hospital for three years due to lung cancer, and his condition had been in a stable state at the hospital. Suddenly, after lung radiotherapy and chemotherapy on November 2, 2004, the patient's condition worsened. The hospital adjusted the treatment plan based on the condition and increased medication intensity. In addition to routine treatment, an additional case of Yisha (imported drug) was added every day for more than five consecutive months of treatment. In March 2005, he underwent a follow-up examination at the hospital. After lung chemotherapy, the imaging findings showed that the right lung was enlarged compared to before, with lymph node metastasis roughly the same as before. The right lung was not dilated and no obvious changes were observed. Multiple metastases in the right lung progressed compared to before, and there was an increase in right pleural effusion. Based on the patient's examination results, our hospital adjusted the positive treatment plan on the original basis. In addition to routine treatment, we also increased the medication intensity and added a new dose of "Weidekai" (imported drug) every day. After eight months of continuous use, the examination was conducted at the hospital on November 9, 2005. The imaging number (11473) clinical information: CT chest enhancement after radiotherapy and chemotherapy for left central lung cancer. Compared with the chest CT on March 6, 2005, the right hilar mass was enlarged compared to before, now about 52mm4mm (MA30), originally 41mm × 31mm (IMA30), unevenly reinforced. The range of atelectasis in the distal lung tissue is the same as before.
The bifurcation of the bronchus, the right main bronchus, the right upper lobe bronchus, the irregular narrowing of the middle segment of the right lung bronchus, the interruption of the opening of the right upper lobe bronchus, and the scattered flocculent lesions in the right lower lung with atelectasis are all similar. Multiple nodules in the left lung have increased in size compared to before, with a maximum of approximately 45mm now × 36mm (IMA16), originally 38mm × A new nodule (MA15) is seen in the 29mm (IMA1) right lower lung, with a longitudinal paratracheal enlarged lymph node similar to the previous one. The right pleural effusion is similar to before. The localized increase in density in the right rear fetus is similar to before (IMA29). Imaging opinion: Upper right lung cancer is progressing compared to before; Multiple lung metastases have progressed compared to before. On November 10, 2005, the patient called from Beijing to explain the reason and decided to receive traditional Chinese medicine treatment. Come for treatment before December 7, 2005. Symptoms: emaciated body, dark yellow complexion, chest tightness, shortness of breath, back pain, bilateral subclavian, multiple lymph nodes in both armpits, numbness in both hands, anorexia, fatigue, dry mouth and tongue, thick and greasy red tongue coating, sublingual vein treatment: clearing heat and detoxification, storing fluid and nourishing yin, dispersing nodules and resolving blood stasis. During the period of taking traditional Chinese medicine, all medications should be discontinued. After more than 60 days of treatment with 30 doses of traditional Chinese medicine, the patient's symptoms have improved and I request a follow-up examination; On February 23, 2006, the examination was conducted at Beijing Cancer Hospital. Compared with November 9, 2005, the chest showed that the right hilar mass had shrunk to approximately 39mm compared to before × 30mm (MA30), originally 52m41mm (IMA30), still shows uneven enhancement, and the range of atelectasis in the distal lung tissue is smaller than before; The bifurcation of the bronchus, the right main bronchus, the right upper lobe bronchus, and the middle segment of the right pulmonary bronchus, as well as the abnormal stenosis, have a similar interruption at the opening of the right upper lobe bronchus, and scattered flocculent lesions in the right lower lung are more absorbed than before. Multiple nodules in the right lung have decreased and shrunk compared to before, and the original largest lesion now has a patchy shadow at the edge, with a central solid part of about 11mm × 9mm (MA17), originally 45mmx36mm (IMA16), now approximately 13mm × 10mm (IMA28), originally 24mm17mm; The right lower lung nodule was not shown on this scan. The enlarged lymph nodes in the mediastinum, adjacent to the trachea and left hilar lobe, have shrunk to a maximum of approximately 15mm × 14mm (IMA22), originally 25mm × 17mm. There is a decrease in pleural effusion compared to before. Localized density increase in the right posterior rib is similar to before (IMA29); No bone destruction lesions were found in the other chest wall bones. Imaging opinion: Upper right lung cancer with multiple metastases in both lungs has improved compared to before; Mediastinal and left hilar lymph node metastasis improved compared to before; After the absorption test of the right pleural effusion was completed, 30 doses of traditional Chinese medicine were taken and re examined at Beijing Cancer Hospital on June 5, 2006. Imaging opinion: Upper right lung cancer with multiple metastases in both lungs has improved compared to before: mediastinal lymph node swelling is similar to before; Right pleural effusion absorbs pericardial effusion. The patient was forced to give up treatment due to work needs. The next summer, after being persuaded by a friend to switch to gamma knife treatment, the miners and equipment were put into intense labor and production together.
案例3.双肺癌症患者
患者刘海秀,男,49岁,山西省潞城市西流乡西流村。于2009年9日27日前来就诊。主诉:咳嗽,发烧,乏力,胸闷,气短,恶心,头疼近日加重。在山西煤炭中心医院DR检查报告:检查描述:两肺野纹理增重,左肺野3一4前肋间可見一结节影,边界欠清。其余无明显异常。初步印象:左肺结节影,建议行C丅检查。于20O9年8月14日在长治市人民医院螺旋CT检查报告:影像检查所示:平扫示双侧胸廓形太尚可,肺纹理清晰走行无异常,双側肺野可見散在多发隐匿性结节影,边缘毛糙,最大者约1点5公分,余未見其它异常密度影。初步诊断:双肺撒在多发隐匿性结节影,转移瘤。
Case 3: Double lung cancer patients
Patient Liu Haixiu, male, 49 years old, is from Xiliu Village, Xiliu Township, Lucheng City, Shanxi Province. Visited before September 27th, 2009. Complaints: Cough, fever, fatigue, chest tightness, shortness of breath, nausea, and headache have worsened recently. DR examination report at Shanxi Coal Central Hospital: Examination description: The markings in both lung fields have increased, and a nodular shadow can be seen between the anterior ribs of the left lung field 3-4, with unclear boundaries. There are no obvious abnormalities in the rest. Preliminary impression: Left lung nodule shadow, it is recommended to undergo C. On August 14, 20O9, a spiral CT examination was conducted at the People's Hospital of Changzhi City. The imaging examination showed that the chest shape on both sides was acceptable, the lung markings were clear and normal, and scattered hidden nodular shadows were visible in both lung fields. The edges were rough, with the largest being about 1.5 cm. No other abnormal density shadows were observed. Preliminary diagnosis: Multiple occult nodular shadows scattered in both lungs, with metastatic tumors.
案例4、骨髓瘤脑转移
Case 4: Brain Metastasis of Myeloma

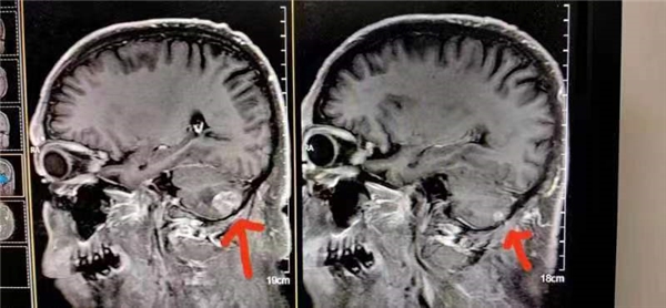
案例5、左肺磷癌,脑转移
Case 5: Left lung squamous cell carcinoma with brain metastasis

案例6、胰腺癌
Case 6: pancreatic cancer

案例7、 晚期膀胱癌
Case 7. Advanced bladder cancer

上图是22年前,晚期膀胱癌,30天临床治愈。纯中药治疗,至今22年,仍在农业第一线参加劳动。(一次性治愈后,不服药,不复发,不转移)。这是22年前的经典病案。The picture above shows that 22 years ago, advanced bladder cancer was clinically cured in 30 days. Pure traditional Chinese medicine treatment has been used for 22 years and still participates in labor at the forefront of agriculture. After a one-time cure, do not take medication, do not recur, and do not transfer. This is a classic medical record from 22 years ago.
案例8、骨癌
Case 8: Bone Cancer

陈教授二十年前只用了48天成功拯救了骨癌患者,在中国治癌史上迈开了成功的第一步,是中医医学史性的大迈进。Professor Chen successfully saved bone cancer patients in just 48 days 20 years ago, marking the first successful step in the history of cancer treatment in China and a historic leap forward in traditional Chinese medicine.
案例9、喉癌
患者曹元富病例情况及治疗康复后检查结果前后对比(如下图)
Case 9: Laryngeal Cancer
Comparison of patient Cao Yuanfu's case situation and examination results before and after treatment and rehabilitation (as shown in the following figure)


案例10、 巨型肝癌
患者:陈某,湖南省岳阳市平阳县人。158mmx127mm巨型肝癌,63岁,2021年6月在湖南人民医院检查出肝硬化,胰腺钩突肿,15.8CM患者的病情已经十分严重患者因为年龄较大,身体素质不好,医院建议保守治疗。在医院医生已经放弃治疗,家人失去希望的时候,去年10月,陈胖斌的女儿通过朋友的介绍(女儿朋友母亲就是吃了陈海林教授中药治疗好了淋巴癌)认识了陈海林教授,陈教授知道了如此严重的病症非常担心,赶快安排了患者家人赶赴山西问诊,望闻问切一系列下来,陈教授根据他的多年经验开出药方,患者原本每天要以止疼药来缓解疼痛,吃了陈教授的中药半月已经不需要吃止疼药了,现在经纯中医中药治疗,十四个月化整为零,临床治愈!Case 10: Giant liver cancer
Patient: Chen, from Pingyang County, Yueyang City, Hunan Province. 158mmx127mm giant liver cancer, 63 years old, was diagnosed with liver cirrhosis and pancreatic uncinate process swelling at Hunan People's Hospital in June 2021. The condition of the 15.8cm patient is already very severe. Due to their age and poor physical fitness, the hospital recommends conservative treatment. When doctors in the hospital had already given up treatment and family members had lost hope, last October, Chen Pangbin's daughter met Professor Chen Hailin through a friend's introduction (her friend's mother had taken Professor Chen Hailin's traditional Chinese medicine to treat lymphatic cancer). Professor Chen was very worried about such a serious illness and quickly arranged for the patient's family to visit Shanxi for a series of consultations. Based on his years of experience, Professor Chen prescribed a prescription, The patient used to use painkillers every day to relieve pain, but after taking Professor Chen's traditional Chinese medicine for half a month, they no longer need to take painkillers. Now, after being treated with pure traditional Chinese medicine, it has been reduced to zero in 14 months and clinically cured!

患者陈某当时在医院医生已经放弃治疗,158mmx127m的巨型肝癌,后经陈海林教授15个月纯中医药治疗,于2023年2月2日检查明显地缩小到7mmx9mm,这是医学史上的又一重大医学成果,挽救了患者生命,为陈教授点赞!!Patient Chen, who had already given up treatment at the hospital, had a giant liver cancer of 158mmx127m. After 15 months of pure traditional Chinese medicine treatment by Professor Chen Hailin, it was significantly reduced to 7mmx9mm upon examination on February 2, 2023. This is another major medical achievement in medical history, saving the patient's life. Let's praise Professor Chen!!
案例11、膀胱恶性肿瘤。
患者:王育明,男,72岁在施行微创后,不灌肠,不化疗,服用三个月中药临床治愈。前后检查对比。Case 11: Bladder Malignant Tumor.
Patient: Wang Yuming, male, 72 years old. After undergoing minimally invasive surgery, he did not undergo enema or chemotherapy and was clinically cured after taking traditional Chinese medicine for three months. Compare before and after inspections.

案例12、 中肝叶恶性肿瘤
患者:苏六英,女,53岁在经陈教授治疗45天明显对比诊断 胆管癌12ommx88mm,边界模糊。经78天的纯中药治疗缩小为108mmx76mm,边界尚清。Case 12: Malignant tumors in the middle lobe of the liver
Patient: Su Liuying, female, 53 years old. After 45 days of treatment by Professor Chen, a clear comparative diagnosis of cholangiocarcinoma was made, with a size of 12mmx88mm and a blurry boundary. After 78 days of pure Chinese medicine treatment, the size was reduced to 108mmx76mm, and the boundary is still clear.

病例13、 肝癌
患者:文某某于2023年1月26日开始服药2023年2月21曰在邢台第一人民医院cT检查报告:肝癌7ommx6omm,经二十三天的中药治疗缩小为32mmx34mm。两次检查前后对比明显减小,患者于2023年3月1日打电话感谢陈教授,这是为全国两会献出的又一份医学成就!!!Case 13: Liver Cancer
Patient: Wen started taking medication on January 26, 2023. On February 21, 2023, he underwent CT examination at Xingtai First People's Hospital. The report showed that liver cancer was 7ommx6mm, and after 23 days of traditional Chinese medicine treatment, it reduced to 32mmx34mm. The comparison before and after the two examinations showed a significant decrease. The patient called Professor Chen on March 1, 2023 to thank him. This is another medical achievement donated to the National Two Sessions!!!

案例14、肺小细胞癌
患者:任庚虎,男,64岁,患肺小细胞癌,右肺中叶阻塞性不张,经短时间服用纯中药治疗明显对比,较前明显好转。患者任庚虎为陈海林教授写下神秘的东方国度,古老的东方传说,千年岁月的砥砺,万病回春的神奇,共同造就了国医。让我们来歌颂您,您用仁心仁术抚去了疾患的病痛,你用儒道医德带来了康复的福音。你的精髓,广为传诵。你的经典,终生铭记。Case 14: Small Cell Lung Cancer
Patient: Ren Genghu, male, 64 years old, suffering from small cell lung cancer with obstructive atelectasis in the middle lobe of the right lung. After taking pure Chinese medicine for a short period of time, there was a significant improvement compared to before. Patient Ren Genghu wrote for Professor Chen Hailin the mysterious Eastern Kingdom, ancient Eastern legends, the tempering of thousands of years, and the miraculous rejuvenation of diseases, all of which together created the national medicine. Let us sing praises to you. With your benevolence and benevolence, you have soothed the pain of your illness, and with your Confucian and Taoist medical ethics, you have brought the gospel of recovery. Your essence is widely circulated. Your classic will be remembered for a lifetime.

案例15、双肺癌
患者至今康复14年,正常参加农业劳动。Case 15: Double lung cancer
The patient has been recovering for 14 years and has been participating in agricultural labor normally.

案例16、恶性肿瘤
患者伍瑞玲,在当地三甲医院作了化疗第1、2次比较有效的,从第3次起后面5次癌胚抗原一直没什么变化,而身体反应很大,睡不好吃不下饭,抵抗力差,后经到陈教授一个月的中医药治疗,检验报告基本达到正常。Case 16: Malignant Tumors
Patient Wu Ruiling received chemotherapy at the local tertiary hospital for the first and second times, which was relatively effective. Since the third time, there has been no change in the carcinoembryonic antigen in the last five times, and her body has had a lot of reactions. She cannot sleep well and has poor resistance. After receiving a month of traditional Chinese medicine treatment from Professor Chen, the test report is basically normal.

案例17、回盲癌
患者王春平 59岁,河北省邢台市临城县赵庄乡围场村于2020年1月15日在临城中医医院诊断急性阑尾炎,于202O年1月16日做盲肠部分切除术,。又于2020年1月16一27日回盲部分切除物进行病理图像分析报告:病理号4134。病理诊断结果:(回盲部)送检为腺癌组织,结构不清,部分侵及肠壁肌层。于2o2O年3月10日前来陈院长处就诊;经过近七月的治疗,于2020年10月29日检查,回盲癌完全消失。陈院长说;回盲癌很难手术后成功,因为王春平有肠壁肌层侵入。她不愿再做第二手术创伤,选定中医中药,一定能在她身上再创奇迹,果然经七个月的经心治疗,2O2O年10月2日经检查该病消失了,更加激发王春平对未来美好生活的幢景和追求。Case 17: Colorectal cancer
Patient Wang Chunping, 59 years old, was diagnosed with acute appendicitis in Weichang Village, Zhaozhuang Township, Lincheng County, Xingtai City, Hebei Province on January 15, 2020 at Lincheng Traditional Chinese Medicine Hospital. He underwent partial cecal resection on January 16, 2020,. On January 16-27, 2020, pathological image analysis was performed on the partially resected ileocecal material, with pathological number 4134. Pathological diagnosis: (ileocecal region) submitted for examination as adenocarcinoma tissue, with unclear structure and partial invasion of the intestinal wall muscle layer. Visit Director Chen for medical treatment before March 10, 2020; After nearly seven months of treatment and examination on October 29, 2020, the ileocecal cancer completely disappeared. Dean Chen said; It is difficult to successfully treat ileocecal cancer after surgery because Wang Chunping has invaded the muscular layer of the intestinal wall. She was unwilling to undergo a second surgical trauma and chose traditional Chinese medicine, which would surely create another miracle on her. Indeed, after seven months of psychological treatment, the disease disappeared after examination on October 2, 2020, further stimulating Wang Chunping's pursuit of a better future life.

案例18、胶质瘤
患者贾永乐,头部胶质瘤五个,可以说医学界极为罕见;患者只做两个放疗后重度昏迷七十三天没有睁过一次眼,没有语言没有吞咽功能,此人已被天坛医院三0一医院协和医院宣武医院等IO家医院判为无法挽回了,陈海林教授被病人家属邀请5日三十到北京连夜治疗,第二天开始睁一下眼睛,今天第八天,可以睁开眼睛四分钟,今五个瘤体都在缩小,堪称奇迹!还有晚期肝癌患者,今年三月在北京肿瘤医院检查后,该院判定最多三个月存活期,当时肝区疼痛都在用止疼药。从陈海林院长四月四开始治疗至今八月八日,生命延读了肝癌在缩小,不用止痛药。还有中晚期肺癌患者,无西医介入一次治疗,完全靠中医,至今很好。Case 18: Glioma
Patient Jia Yongle has five head gliomas, which can be said to be extremely rare in the medical community; After only two rounds of radiation therapy, the patient was in a severe coma for 73 days without ever opening their eyes, without language or swallowing function. This person has been ruled irreparable by IO hospitals such as the Xuanwu Hospital of Tiantan Hospital, Sany Hospital, Xiehe Hospital, and other hospitals. Professor Chen Hailin was invited by the patient's family to Beijing for overnight treatment on the 5th and 30th. The next day, he started to open his eyes. Today, on the 8th day, he was able to open his eyes for four minutes, and all five tumors are shrinking, It's a miracle! There are also patients with advanced liver cancer. After undergoing an examination at the Beijing Cancer Hospital in March this year, the hospital determined a maximum survival period of three months. At that time, painkillers were being used for liver pain. Since Dean Chen Hailin started treatment on April 4th until August 8th, his life has been delayed and liver cancer is shrinking, without the use of painkillers. There are also patients with mid to late stage lung cancer who rely solely on traditional Chinese medicine without the intervention of Western medicine, and have been doing well to this day.


案例19、肾癌
患者路锁环,女,64岁,家住北京市海淀区大柳树路2号中国铁道研究院南三楼。于2017年6月在北京人民医院进行右肾癌全切手术,于2O2O年8月19日在北京市海淀区医院彩色超声检查,住院号39848O。检查所見:右肾切除术后,左肾大小约122mm×64mm,实质厚约12mm,实质回声增强,结构欠清晰,左肾盂及多个肾盏扩张,最宽约22mm,肾盂内可見不均回声,饱围约74mm×27mm,形态不规则,边界尚清晰,其内似見少量血流信号,左侧输尿管受肠气干扰不清晰。检查结论:右肾切除后,左肾孟内实性病变伴.,左肾积水,性质待定,不除外癌。Case 19: Renal Cancer
Patient Road Lock Ring, female, 64 years old, residing at No. 2 Daliushu Road, Haidian District, Beijing, China Railway Research Institute, South 3rd Floor. In June 2017, a total resection surgery for right renal cell carcinoma was performed at Beijing People's Hospital. On August 19, 2020, a color ultrasound examination was performed at Haidian District Hospital in Beijing, with hospitalization number 39848O. Examination findings: After right nephrectomy, the size of the left kidney is approximately 122mm × 64mm, with a parenchymal thickness of approximately 12mm. The parenchymal echo is enhanced and the structure is not clear. The left renal pelvis and multiple renal calices are dilated, with a maximum width of approximately 22mm. Uneven echoes can be seen in the renal pelvis, with a saturation circumference of approximately 74mm × 27mm, irregularly shaped, with clear boundaries. It appears to have a small amount of blood flow signal inside, and the left ureter is not clearly affected by intestinal gas interference. Examination conclusion: After right nephrectomy, there is a solid lesion in the left kidney accompanied by, Left renal hydronephrosis, nature undetermined, excluding cancer.

案例20、恶性淋巴瘤
患者仇聪丽,女,49岁,浙江省宁波市宁海县人。于2018年9月12日在上海复旦大学肿瘤医学进行病检穿刺:淋巴造血糸统恶性淋巴瘤不能除外。随即:上海中医药大学附属龙华医院彩色超声波检查:左侧大腿根部肿块处见低回声困块,大小46x28x32mm。外形欠规则,内部回声不均勻,cDFl,见丰富的血流信号。超声印象:左侧大腿根部肿块处实质占位。
Case 20: Malignant lymphoma
Patient Qiu Congli, female, 49 years old, from Ninghai County, Ningbo City, Zhejiang Province. On September 12, 2018, a biopsy was conducted in the field of oncology at Fudan University in Shanghai: lymphohematopoietic malignancy lymphoma cannot be excluded. Immediately: Color ultrasound examination at Longhua Hospital Affiliated to Shanghai University of Traditional Chinese Medicine: A low echo trapped mass with a size of 46x28x32mm was found at the left thigh root mass. The appearance is irregular, with uneven internal echoes and abundant blood flow signals. Ultrasound impression: A solid mass occupying the base of the left thigh.




该病于2018年9月23日开始纯中药治疗,经过10个月的中医药的临床治疗,于2ol9年10月21日在宁波市临床病理诊断中心:细针吸取细胞学病理诊断报告单:附图:细胞学病理诊断结果:(左大腿根部淋巴结针吸)涂片中见散在淋巴细胞,未见肿瘤依据。The disease began pure traditional Chinese medicine treatment on September 23, 2018. After 10 months of clinical treatment with traditional Chinese medicine, it was diagnosed on October 21, 2019 at the Ningbo Clinical Pathology Diagnosis Center: Fine needle aspiration cytology Pathology Diagnosis Report Form: Attached Figure: Cytology Pathology Diagnosis Result: Scattered lymphocytes were found in the smear (needle aspiration of lymph nodes at the left thigh root), and no tumor evidence was found.

该患者经10个月的纯中药临床治愈后,不服药,不转移,不复发,五年过去了仍旧走向工作岗位,积极投身于祖国的建设事业中。于2023年7月I日隨访健状况良好。After 10 months of pure traditional Chinese medicine clinical treatment, the patient did not take medication, did not transfer, and did not relapse. Five years later, he still went to work and actively devoted himself to the construction of the motherland. Follow up on July I, 2023 showed good health condition.
案例21.:新冠危病患者
患者荣退军人,(军医),73岁,2020年年前到过海鲜集市后,第二天感冒住进医院,第五天查出新冠肺炎,第七天重症呼吸科,随即:抗消炎,抗肿瘤,免疫药,用尽一切办法,只能还有一口气,在极为艰难的时刻。选择中医中药而获得终生的成功,至今两年多,不论这两年遇到何等错挫他都挺过,在不服药的情况下,依然健康欢度晚年岁月!Case 21: COVID-19 critical patients
The patient Rong retired from the military (military doctor), 73 years old, went to the seafood market before 2020, was hospitalized with a cold the next day, was diagnosed with COVID-19 on the fifth day, and was admitted to the severe respiratory department on the seventh day. Immediately: anti inflammation, anti-tumor, immune drugs, all means exhausted, only one breath left, in a very difficult time. Choosing traditional Chinese medicine and achieving lifelong success has lasted for more than two years now. No matter how many mistakes and setbacks he encountered in these two years, he has survived. Even without taking medication, he still enjoys his old age in a healthy and joyful manner!



这位患者在新冠初期被感染,在危病时刻找到了陈海林老师使用中医药进行最后的救治,没想的短短数月就成功治愈,给患者带来了生的希望,是人民楷模。他治愈成功后获得了世界认可,获得了国际抗疫功勋人物的表彰,得到国际认可。
The patient was infected at the beginning of COVID-19. At the critical moment, he found Mr. Chen Hailin to use traditional Chinese medicine for the final treatment. Unexpectedly, he was successfully cured in a few months, which brought hope to the patient and was a model of the people. After his successful cure, he gained global recognition and was recognized as an internationally recognized figure in the fight against the epidemic.
案例22 多发骨恶性病变
患者:李某枝,女,73岁糸邯钢医院名医家属。经检查:胸椎8至9椎体,腰3至4椎体药剂分布异常浓聚,诊断多发骨恶性病变。于1998年3月2曰开始服用中药,于1998年4月20日邯钢医院ECT检查胸椎8成骨活性增强,腰椎3,4成骨活性己基本正常!经服用陈海林教授特制中药48天临床治愈 。Case 22 Multiple malignant bone lesions
Patient: Li Mouzhi, female, 73 years old, a family member of a renowned doctor from Hangang Hospital. Upon examination, it was found that the drug distribution in the thoracic vertebrae 8 to 9 and the lumbar vertebrae 3 to 4 was abnormally concentrated, indicating the diagnosis of multiple malignant bone lesions. I started taking traditional Chinese medicine on March 2, 1998. On April 20, 1998, during an ECT examination at Hangang Hospital, the osteogenic activity of the thoracic vertebrae was enhanced, while the osteogenic activity of the lumbar vertebrae was basically normal! After taking Professor Chen Hailin's specially designed traditional Chinese medicine for 48 days, it was clinically cured.

案例23、肺癌
患者:杨某虎,男38岁,系山西省长治郊区鹿家庄村,经医院cT检查左上肺癌范围72mmx69mmⅩ7omm于1998年5月2日至1998年6月4日服用32天中药检查双肺未見占位性病变。32天归零!Case 23: Lung Cancer
Patient: Yang Mouhu, male, 38 years old, from Lujiazhuang Village, Changzhi Suburb, Shanxi Province. According to the hospital's CT examination, the left upper lung cancer range was 72mmx69mmX7mm. From May 2, 1998 to June 4, 1998, he took 32 days of traditional Chinese medicine examination and found no space occupying lesions in both lungs. 32 days to zero!
案例24、肺小细胞肺癌脑转移
患者在北京301医院检查治疗结果左脑肿瘤大于右脑肿瘤,陈海林采取采取纯中药的临床治疗,经三个月的治疗,于2023年6月28日的颅脑磁共振平扫十增强:1:右侧小脑转移瘤复查与2o23年3月9日MR片对比,病变基本消失。这个结果连301医院的都声称是奇迹。Case 24: Small cell lung cancer with brain metastasis
The patient underwent examination and treatment at Beijing 301 Hospital, and the results showed that the left brain tumor was larger than the right brain tumor. Chen Hailin adopted clinical treatment with pure Chinese medicine, and after three months of treatment, on June 28, 2023, the brain magnetic resonance plain scan with ten contrasts: 1. Compared with the MR film on March 9, 2023, the right cerebellar metastatic tumor reexamined and the lesion basically disappeared. This result is even claimed to be a miracle by Hospital 301.


案例25.食管中段乳头状瘤
患者吴俊杰,男,53岁,山西化肥厂高级工程师。于1992年3月24日在山西医学院第二附属医院病理细胞检查报告:病理细胞诊断:(食管中段)乳头状瘤,后经陈海林教授治疗食一次性治愈,至今32年,健康状况良好。如今85岁的吴老先生精神状态很好,夫妻二人2023年8月1日来拜访陈教授并合影留念(图片)。
回首过往,陈教授说就是从治愈这例癌症开始,他每年都能给不同病症癌症患者带来康复,平均每一年有一种癌症被攻克,至今40多种癌症成功地展现在神州大地,这是中医药的博大精髓!陈海林教授深知自己的使命怀揣治病救人朴实理念,不负韶华,砥砺前行。Case 25. Middle esophageal papilloma
Patient Wu Junjie, male, 53 years old, is a senior engineer at Shanxi Fertilizer Factory. On March 24, 1992, a pathological cell examination was conducted at the Second Affiliated Hospital of Shanxi Medical College. The pathological cell diagnosis was (middle esophageal) papilloma, which was later treated and cured by Professor Chen Hailin in one go. It has been 32 years since then and the patient is in good health condition. Mr. Wu, who is now 85 years old, is in good mental condition. The couple visited Professor Chen and took a group photo on August 1, 2023 (picture).
Looking back, Professor Chen said that starting from curing this cancer, he can bring recovery to cancer patients with different diseases every year. On average, one type of cancer is conquered every year, and 33 types of cancer have been successfully demonstrated in the land of China to this day. This is the vast essence of traditional Chinese medicine! Professor Chen Hailin is well aware of his mission and carries a simple concept of treating diseases and saving people. He will not disappoint his youth and forge ahead.



中医药学博大精深、源远流长,是中华民族在长期的生产与生活实践中认识生命、维护健康、战胜疾病的宝贵经验总结,,陈海林用独特的思维和方法解决了很多疑难癌症,用自己高超的医技书写了很多传奇故事,彰显了精彩的人生,也获得众多荣誉。陈海林教授承诺;中医中药根治恶性肿瘤,癌细胞逆转正常生理细胞,是对世界人民的庄严承诺。中医药根治恶性肿瘤是人类医学发展的必然选择!是攻克世界医学难题的一把金钥匙!Traditional Chinese medicine is extensive, profound, and has a long history. It is a valuable summary of the Chinese nation's experience in understanding life, maintaining health, and overcoming diseases through long-term production and life practice. Chen Hailin solved many difficult cancers with his unique thinking and methods, and wrote many legendary stories with his superb medical skills, showcasing a wonderful life and receiving numerous honors. Professor Chen Hailin promises; Traditional Chinese medicine is a solemn promise to the people of the world to eradicate malignant tumors and reverse normal physiological cells in cancer cells. Radical treatment of malignant tumors with traditional Chinese medicine is an inevitable choice for the development of human medicine! It is a golden key to overcoming the world's medical challenges!

业界荣誉
2009年,被中国医促会中老年保健专业委员会增补为肿瘤学科专家委员,并获得中医药创新一等奖、科研成果二等奖,癌细胞迅速逆转为生理细胞的论述荣获科研成果二等奖。
2009年10月21日,陈海林医师主讲的,立足三焦气化之本根治恶性肿瘤之源病例分析的论文被中华中医药学会评为优秀论文,并颁发优秀论文证书。
2009年11月18日被全国高健委名医名院发展促进专业委员会任命为首席专家,并颁发证书。
2009年12月被中国医师网聘请为顾问委员副主任委员。
2010年5月20日荣获国际注册特色诊疗执业医师。
2010年10月被中华中医师发展协会定为中医恶性肿瘤特色疗法研究基地,并授予特色诊疗专家荣誉称号。
2010年10月第十期《中医杂志》增刊,陈海林医案举隅一文,并颁发中华中医药学会论文证书。
2010年12月10日参加中医杂志社为庆祝创办55周年举办的全国中医专家学者高层论坛,并授予全国著名中医专家学者荣誉奖牌。
2011年3月由中国中医古籍出版社将论文载入中国中医名医名科品牌博览一书中,并颁发优秀论文证书。
Industry Honors
In 2009, he was appointed as an expert committee member in the field of oncology by the Middle and Elderly Health Care Professional Committee of the China Association for the Promotion of Medical Technology, and won the first prize for innovation in traditional Chinese medicine and the second prize for scientific research achievements. The discussion on the rapid reversal of cancer cells into physiological cells won the second prize for scientific research achievements.
On October 21, 2009, Dr. Chen Hailin's paper on the root cause and case analysis of malignant tumors based on the three jiao gasification was awarded an excellent paper by the Chinese Society of Traditional Chinese Medicine and awarded an excellent paper certificate.
On November 18, 2009, he was appointed as the Chief Expert by the Development Promotion Professional Committee of Famous Medical Hospitals of the National High Health Commission and issued a certificate.
In December 2009, he was hired by China Physician Network as the Vice Chairman of the Advisory Committee.
On May 20, 2010, he was awarded the title of internationally registered specialty medical practitioner.
In October 2010, it was designated as a research base for traditional Chinese medicine malignant tumor characteristic therapies by the Chinese Association for the Development of Traditional Chinese Medicine, and was awarded the honorary title of characteristic diagnosis and treatment expert.
In October 2010, the 10th issue of "Journal of Traditional Chinese Medicine" was supplemented with an article on the medical case of Chen Hailin, and a paper certificate was issued by the Chinese Society of Traditional Chinese Medicine.
On December 10, 2010, participated in the National Forum of Traditional Chinese Medicine Experts and Scholars held by the Traditional Chinese Medicine Journal to celebrate its 55th anniversary, and awarded the National Famous Traditional Chinese Medicine Expert and Scholar Honorary Medal.
In March 2011, the Chinese Traditional Chinese Medicine Ancient Books Publishing House included the paper in the book "Famous Traditional Chinese Medicine Brands Expo" and issued an excellent paper certificate.
2011年底6卷《世界中医药》杂志增刊论文《中医药治疗恶性肿瘤经验介绍》一文。
2011年5月10日论文《中医药根治恶性肿瘤是当今世界医学发展的依然选择》被首届传统医学创新发展论坛大会组委会评为优秀学术论文特等奖。
2011年8月27日被吸收为中华中医药学会肿瘤分会委员。
2011年9月中国医学临床技术新进展大会上论文经评审荣获医学临床技术优秀论文一等奖,2011年10月9日关于召开2011年全国临床检验改革发展研讨会上,被评选为全国医学优秀科技成果特等奖。
2011年7月,论文刊登在《科学发展在中国》一书,由中共中央党校《科学社会主义》杂志社编,中央文献出版社出版。
2011年11月15日,中国国际特色医师协会颁发《国际注册执业职业资格证书》,被注册中医执业医师资格。
2012年5月担任《传统医学传承创新成果荟萃》一书副主编。
个人成果和事迹刊登在《建国六十周年人物成就大典》一书中,由国务院办公厅中华人民共和国卫生部编辑,由中国科学文化出版社出版。
2012年担任《中国名医诊疗绝技》一书副主编。
2012年10月担任《中国医者先锋大典》主编。
2012年10月30日,一种治疗食道癌的药剂被国家知识产权局受理申请发明专利。
2013年03月26日,一种治疗肺癌的中药被国家知识产权局受理申请发明专利。
2013年6月被全国中医药传承发展专业委员会、国家卫生系统发展地方办聘请为山西省区域首席代表。
2013年6月经世界首脑医药联合评审委员会评选考核鉴定,特授予自然医学科学院院士证书。
2013年7月被中国老教授协会社会科学专业委员会特聘为中医药文化专家团客座教授称号。
2013年8月被中国科学家协会授予终身副理事长称号。
2013年8月被中共中央党校、中国领导科学研究会作为《求是先锋—领导干部提高文化发展能力的理论与实践》丛书特邀编委。
2013年11月被中国中西医结合医学会授予全国中医肿瘤名医。
2013年11月被第十届中国科学家协会授予2013年中国科技创新卓越成果奖并荣获第十届中国科学家优秀论文一等奖。
2014年当选为中国科学家协会贺新春甲午马年2014年挂历特定人物照。
2014年1月被国际JCI医疗卫生执业认证联合委员会认证颁发国际JCI认证注册执照医师,资格名称主任(高级)医师。
2014年4月向国家医学教育发展中心提交《中医根治恶性肿瘤是利民强国之本》,并荣获了中医特色疗法传承与创新优秀论文一等奖。
2014年5月,被世界中西医结合医学研究院和世界传统节暨世界中医药成果高峰盛会组委会颁发世界千禧名医—地球骄子奖。
At the end of 2011, an article titled "Introduction to the Experience of Traditional Chinese Medicine in Treating Malignant Tumors" was published in a 6-volume supplement to the World Journal of Traditional Chinese Medicine.
On May 10, 2011, the paper "Radical treatment of malignant tumors with traditional Chinese medicine is still the choice for the development of medicine in the world today" was awarded the Special Prize for Excellent Academic Paper by the organizing committee of the first Traditional Medicine Innovation and Development Forum.
On August 27, 2011, he was recruited as a member of the Cancer Branch of the Chinese Society of Traditional Chinese Medicine.
In September 2011, the paper was awarded the First Prize for Excellent Medical Clinical Technology at the China Medical Clinical Technology Progress Conference. On October 9, 2011, it was selected as the Special Prize for Excellent Medical Science and Technology Achievements at the 2011 National Clinical Laboratory Reform and Development Seminar.
In July 2011, the paper was published in the book "Scientific Development in China", edited by the magazine "Scientific Socialism" of the Central Party School of the Communist Party of China, and published by the Central Literature Publishing House.
On November 15, 2011, the China Association of International Specialty Physicians issued the "International Registered Professional Qualification Certificate" and was certified as a practicing physician in traditional Chinese medicine.
In May 2012, he served as the deputy editor in chief of the book "Collection of Traditional Medicine Inheritance and Innovation Achievements".
Personal achievements and deeds are published in the book "Celebration of the 60th Anniversary of the Founding of the People's Republic of China", edited by the General Office of the State Council and the Ministry of Health of the People's Republic of China, and published by the China Science and Culture Press.
In 2012, he served as the deputy editor in chief of the book "Diagnosis and Treatment Skills of Chinese Famous Doctors".
In October 2012, he served as the editor in chief of the "Chinese Medical Pioneer Classic".
On October 30, 2012, a drug for treating esophageal cancer was accepted by the China National Intellectual Property Administration to apply for an invention patent.
On March 26, 2013, a Chinese medicine for lung cancer was accepted by the China National Intellectual Property Administration to apply for an invention patent.
In June 2013, he was appointed as the Chief Representative of Shanxi Province by the National Traditional Chinese Medicine Inheritance and Development Professional Committee and the National Health System Development Local Office.
In June 2013, after being selected and evaluated by the World Summit Medical Joint Evaluation Committee, the certificate of academician of the Academy of Natural Medical Sciences was awarded.
In July 2013, he was specially appointed as a visiting professor by the Social Science Professional Committee of the Chinese Association of Senior Professors in the Traditional Chinese Medicine Culture Expert Group.
In August 2013, he was awarded the title of Lifetime Vice Chairman by the Chinese Association of Scientists.
In August 2013, he was invited as a special editorial board member by the Central Party School of the Communist Party of China and the China Leadership Science Research Association for the series "Seeking Truth Pioneers - Theory and Practice of Improving Cultural Development Ability of Leading Cadres".
In November 2013, he was awarded the title of National Traditional Chinese Medicine Tumor Doctor by the China Association of Integrated Traditional Chinese and Western Medicine.
In November 2013, he was awarded the 2013 China Science and Technology Innovation Outstanding Achievement Award by the 10th China Association of Scientists and won the first prize of the 10th China Scientists Excellent Paper Award.
In 2014, he was elected as a special person photo in the calendar of the Chinese Association of Scientists to celebrate the New Year of the Horse.
In January 2014, he was certified by the International JCI Joint Committee for Medical and Health Practice Certification and issued an International JCI Certified Registered Physician with the qualification name of Director (Senior) Physician.
In April 2014, he submitted the "Traditional Chinese Medicine Radical Treatment of Malignant Tumors is the Foundation of Benefiting the People and Strengthening the Country" to the National Medical Education Development Center, and won the first prize of the Excellent Paper on Inheritance and Innovation of Traditional Chinese Medicine Characteristic Therapy.
In May 2014, he was awarded the World Millennium Doctor Earth Pride Award by the World Institute of Integrated Traditional Chinese and Western Medicine and the Organizing Committee of the World Traditional Chinese Medicine Festival and World TCM Achievement Summit.
2014年6月,被北京中科兆邦医院医学科学研究院聘任为山西区域首席执行官。
2014年7月,被中国言实出版社《中华梦的发展与探索》丛书编委会邀请为特邀编委,并附医学论文一篇。
2014年在第五届世界华人优秀创新成果评选活动中被评为国际金奖(金马奖),档案号:JZQ11-18.,并特授予世界华人杰出创新人物荣誉称号。
2014年12月,被评为中国十大肿瘤名医。被中国科学家协会评选为2015年度挂历人物。
2021年7月份陈海林教授研发的《一种治疗癌症的中药组合物》被发明者协会国际联合会授予金奖。食道癌获囯际金奖,肺癌获国际金奖,新冠肺炎获国际功勋奖。In June 2014, he was appointed as the CEO of Shanxi region by the Medical Science Research Institute of Beijing Zhongke Zhaobang Hospital.
In July 2014, he was invited by the editorial board of the "Development and Exploration of the Chinese Dream" series by China Yanshi Publishing House as a specially invited editorial board member, with a medical paper attached.
In 2014, he was awarded the International Gold Award (Golden Horse Award) in the 5th World Chinese Outstanding Innovation Achievement Selection Activity, with file number JZQ11-18. He was also awarded the honorary title of Outstanding Innovative Person of World Chinese.
In December 2014, he was named one of China's top ten cancer doctors. Selected as a calendar person of the year 2015 by the Chinese Association of Scientists.
In July 2021, Professor Chen Hailin's "A Traditional Chinese Medicine Composition for Treating Cancer" was awarded a gold medal by the International Federation of Inventors' Associations. Esophageal cancer won the international gold medal, lung cancer won the international gold medal, and COVID-19 won the international merit award.


当前,中医药发展正处于天时地利人和的大好发展时机。陈海林院长通过个国内外媒体呼吁,中医药根治恶性肿瘤是人类医学发展的必然选择,回归大医,破局重生,让传统中医学的“般若”智慧与世人见面,打开中华文明宝库的钥匙,是当下发展中医药面临的重要任务。只有遵循中医药发展规律,立足根基,挖掘精华,保持特色,中医药才能根深叶茂,岐黄之术方可生生不息。陈海林传承精华、守正创新,走出一条符合中医药发展特点的道路,是中医药生生不息、发扬光大的必然选择。
At present, the development of traditional Chinese medicine is at a great opportunity for the harmony of time, place, and people. Dean Chen Hailin has called through domestic and foreign media that the radical treatment of malignant tumors with traditional Chinese medicine is an inevitable choice for the development of human medicine. Returning to traditional medicine, breaking through the situation and rebirth, allowing the wisdom of traditional Chinese medicine's "prajna" to meet the world, and opening the key to the treasure trove of Chinese civilization, is an important task facing the current development of Chinese medicine. Only by following the development law of traditional Chinese medicine, basing on the foundation, digging out the essence, and maintaining the characteristics, can traditional Chinese medicine take root and flourish, and the art of Qihuang can continue to flourish. It is an inevitable choice for Chen Hailin to inherit the essence, uphold integrity and innovate, and walk out a path that conforms to the development characteristics of traditional Chinese medicine.
中医药用最短的时间和花最少的人民币即治疗最大的癌症病症。还就是中医药区别于其它疗法最成功最本质最能体贴广大人民和病患者的根本区别。还就是中医科研工作者的那份职责和担当。人民生命健康就是毕生的追求。至今经中医治愈癌症病人已越过三十年的考证,癌细胞逆转为正常生理细胞已成为我们治病的常态化话题,有望在本世纪中彻底攻克癌症,为实现中华民族的伟大复兴的中国梦,人类健康命运共同体、鲜红的旗帜遍布全球,永远飘扬!The shortest time and the least amount of RMB spent for traditional Chinese medicine to treat the largest cancer disease. That is the fundamental difference between traditional Chinese medicine and other therapies, which is the most successful, essential, and caring for the people and patients. It is also the responsibility and responsibility of traditional Chinese medicine researchers. People's life and health are lifelong pursuits. It has been over thirty years since cancer patients were cured by traditional Chinese medicine, and the reversal of cancer cells into normal physiological cells has become a normalized topic in our treatment. It is expected to completely conquer cancer in this century, and to achieve the great rejuvenation of the Chinese nation, the Chinese Dream. The common body of human health and destiny, the bright red flag, is spread all over the world, forever flying!

诸多的癌症患者,经著名治癌专家陈海林教授治愈后的几十年里,都健康的陪着家人并和谐正常的生活着;还有的治愈后依然投身于祖国建设的各条战线上;由于陈海林教授采用的中医药根治癌症的治疗原则,不是以毒攻毒,也不是杀死癌细胞,更不是带瘤生存;而是运用自己研发的中医三焦气化理论既中医药辩证论治疗法,将癌细胞逆转成为了正常的生理细胞;凡经陈海林教授治愈后的人,一是不再转移复发;二是告别终身服药;三是不会寽终于癌症。还就是陈海林教授30多年来独创研发的中医药根治癌症的精髓特色。也是高度概括出“中医药根治恶性肿瘤是人类医学发展的必然选择”的经典理论。“征途漫漫,唯有奋斗”。虽然已经变得了历史性的突破,但陈海林院长深知癌症研究领域有很多的未知需要他去探索,攻克各种癌症,人民生命健康是他毕生的追求。Many cancer patients, after being cured by renowned cancer expert Professor Chen Hailin, have been living a healthy and harmonious life with their families for several decades; Some still devote themselves to various fronts of national construction after being cured; Due to Professor Chen Hailin's use of traditional Chinese medicine for the treatment of cancer, the principle is not to use poison to fight against poison, nor to kill cancer cells, nor to survive with tumors; Instead, using the self-developed theory of traditional Chinese medicine's three jiao gasification, which is a dialectical treatment method of traditional Chinese medicine, cancer cells are reversed into normal physiological cells; Those who have been cured by Professor Chen Hailin will no longer experience metastasis or recurrence; The second is to bid farewell to lifelong medication; The third is that they will not eventually develop cancer. This is also the essence and characteristics of Professor Chen Hailin's over 30 years of innovative research and development of traditional Chinese medicine for the radical treatment of cancer. It is also a classic theory that highly summarizes that "the radical treatment of malignant tumors with traditional Chinese medicine is an inevitable choice for the development of human medicine". The journey is long, only through struggle. Although it has become a historic breakthrough, Dean Chen Hailin is well aware that there are many unknowns in the field of cancer research that require him to explore and conquer various cancers. People's life and health are his lifelong pursuit.
他们才是改变厄运的主人,康复后用辛勤的劳动叙写着人生的珍贵乐章!They are the masters of the change of bad luck, after the recovery with hard work to write the precious movement of life!我们的医学论文洒在神州大地,我们的科研成果激励着一批又一批康复者投身于祖国建设的四面八方!Our medical papers are sprinkled on the land of China, and our scientific research achievements inspire a group of recovered people to devote themselves to the construction of the motherland in all directions of the country!